
implantate zahnprothesen
Implantate, CAD-CAM Titan Steg
Ober- und Unterkiefer erhalten einen mit CAD/CAM gefrästen Titan-Steg mit Stab-Geschiebe mit 4 und...

veneer
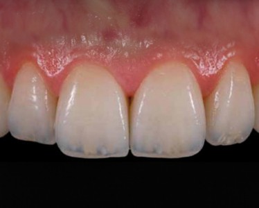
Veneer mit Cut-Back
Veneer mit Cut-Back. Ein Veneer ist eine Keramikschale für die Zähne, mit der sowohl...


implantate zahnprothesen
Prothese, 4 Implantate mit Druckknöpfen, Zahnfleisch individuell
Oberkiefer – totale Prothese auf 4 Implantaten mit Druckknöpfen; Zahnfleisch individuell gestaltet. Vorher (links)...
